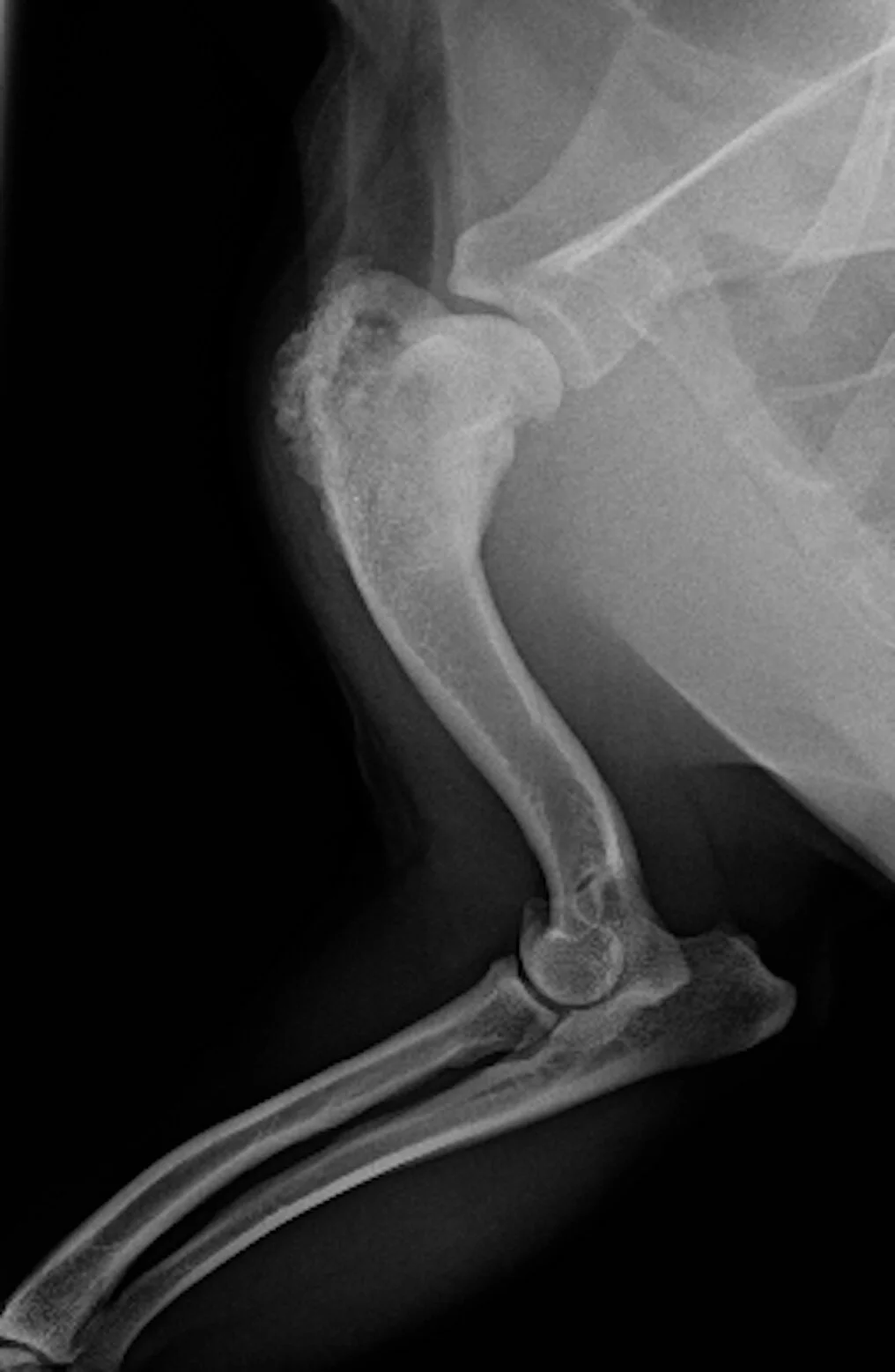
Bone Pain Osteosarcoma Dogs / A Dog In The Cancer Fight Comparative Oncology In Osteosarcoma Intechopen - Bones may be affected by tumors and most frequently these are localized close to the knee joint or below the the dog with bone cancer will be in a lot of pain and relieving this pain is a top priority to comfort your pet.
Dapatkan link
Facebook
X
Pinterest
Email
Aplikasi Lainnya
Bone Pain Osteosarcoma Dogs / A Dog In The Cancer Fight Comparative Oncology In Osteosarcoma Intechopen - Bones may be affected by tumors and most frequently these are localized close to the knee joint or below the the dog with bone cancer will be in a lot of pain and relieving this pain is a top priority to comfort your pet.. Signs of osteosarcoma in dogs may include: A dog with osteosarcoma will easily break a bone while jumping or running and this can be an extremely painful condition. While the prognosis can be discouraging to say the least, there are options osteosarcoma is an aggressive malignant tumor that initially develops within the bone. It is a malignant tumour, meaning it is a very painful cancer and unfortunately the prognosis is quite poor. This is an osteosarcoma, the most common bone cancer in dogs.
Osteosarcomas are aggressive tumours that spread to other parts of the body (often the lungs). Swelling and tenderness near the affected area. Bone lesions—skull, ribs, pelvis, femur, humerus, sternum, spinal cord osteosarcoma: Osteosarcoma is on of the more common bone tumors in dogs, especially those with greater bone density (placing the asd at. Osteosarcoma or bone cancer is mostly appendicular i.e.
A Dog In The Cancer Fight Comparative Oncology In Osteosarcoma Intechopen from www.intechopen.com In general, osteosarcoma has a terrible outlook. In this tumor, the cancerous cells. This is an osteosarcoma, the most common bone cancer in dogs. This is typically later on in the disease however. Read on for information on the symptoms, causes, and conventional treatment of dog bone cancer. Osteosarcoma can occur in any bone in a pet's body, but in dogs, most tumors appear in the front limbs near the shoulder, wrist, and knee. Treatment of osteosarcoma in dogs. The disease develops deep within the bone.
Diagnosing bone cancer in dogs.
Bone lesions—skull, ribs, pelvis, femur, humerus, sternum, spinal cord osteosarcoma: Osteosarcoma can cause knee pain or pain and swelling in the affected area. Some inherited bone conditions can raise the risk of osteosarcoma. In some cases, dogs with bone cancer develop anorexia and decline endurance. Typically, osteosarcoma affects larger breeds and. Osteosarcoma in dogs can grow inside of any of their bones, but it is most often seen in the wrist how common is dog osteosarcoma? Osteosarcomas are aggressive tumours that spread to other parts of the body (often the lungs). Osteosarcoma is an aggressive cancer that can develop in any bone of the body but the majority is seen in the limbs. Osteosarcoma refers to the most common bone tumor found in dogs. A dog with osteosarcoma will easily break a bone while jumping or running and this can be an extremely painful condition. Osteosarcoma in dogs is cancer of bones/ tumor in bones and it affects a large breed of dogs. In general, osteosarcoma has a terrible outlook. The cancer tends to form at or near the growth plates.
Osteosarcoma is less common in cats. Signs of osteosarcoma in dogs may include: In this tumor, the cancerous cells. While the prognosis can be discouraging to say the least, there are options osteosarcoma is an aggressive malignant tumor that initially develops within the bone. Those of the fore and hind limbs but can be in skull, ribs, or jaw.
Canine Bone Cancer The Big Story On Osteosarcoma Orvis from assets.orvis.com While the prognosis can be discouraging to say the least, there are options osteosarcoma is an aggressive malignant tumor that initially develops within the bone. The front limbs are most commonly affected, according to vet cancer specialists. Osteosarcoma, the most common type of bone cancer, often starts in the long bones — the legs or the arms — but it can occur in any bone. They are most common in leg bones, but can affect any bone in the body. With pain relief alone, most dogs can only expect to live for 1. Osteosarcoma is the most common form of bone cancer. Osteosarcoma can occur in any bone in a pet's body, but in dogs, most tumors appear in the front limbs near the shoulder, wrist, and knee. Osteosarcoma is extremely aggressive, and it spreads quickly to other parts of the body, making early detection and.
Bone cancer is a scary diagnosis that no dog parent ever wants to hear.
Sadly, the outlook for a dog with an. Read on for information on the symptoms, causes, and conventional treatment of dog bone cancer. Signs of osteosarcoma in dogs. Does my dog have osteosarcoma? Many dogs conceal their pain exceptionally well so you do. They can include swelling, lameness, and bone pain. In this tumor, the cancerous cells. In some cases, dogs with bone cancer develop anorexia and decline endurance. B one cancer in dogs can cause lameness, swelling, and intense pain. Osteosarcoma can occur in any bone in a pet's body, but in dogs, most tumors appear in the front limbs near the shoulder, wrist, and knee. Veterinarians often use the phrase away from the elbows & toward the knees to remember the. The front limbs are most commonly affected, according to vet cancer specialists. Osteosarcoma or bone cancer is mostly appendicular i.e.
Osteosarcoma in dogs is a primary bone tumour. B one cancer in dogs can cause lameness, swelling, and intense pain. Its main point of occurrence is the appendicular skeleton or the limbs and it weakens the affected bone from inside and makes movement extremely painful. Signs of osteosarcoma in dogs. As the tumor develops, the normal bones swell.
Https Encrypted Tbn0 Gstatic Com Images Q Tbn And9gcr Ghsksegkroqcrteuhdhcxpbqwuwgb Sbet6fvflixsggfe V Usqp Cau from Osteosarcomas are painful tumours that often first appear as hot, solid, tender swellings. Osteosarcoma is the most common form of bone cancer. Dogs with osteosarcoma that has spread to the lungs may also have difficulty breathing or exercise intolerance. In this vlog, dr sue covers everything you need to know when you dealing with osteosarcoma in your dogosteosarcoma is the most common primary canine. Sadly, the outlook for a dog with an. In some cases, dogs with bone cancer develop anorexia and decline endurance. Some inherited bone conditions can raise the risk of osteosarcoma. Signs of osteosarcoma in dogs may include:
It is similar, to some extent, to pediatric osteosarcoma, which happens in humans in adolescence when teenagers experience a period of rapid growth.
Osteosarcomas are aggressive tumours that spread to other parts of the body (often the lungs). Just because your pet can't rate it does not means it doesn't feel it. Pain progresses as the bone is destroyed from the inside out. Osteosarcoma is the most common bone tumor is dogs, accounting for 85% of all bone tumors. Some limb pain during growth is normal for active children and teenagers. It's a highly malignant and aggressive tumour, of which 75% is found in the legs of large and survival rates with bone cancer. In general, osteosarcoma has a terrible outlook. Osteosarcoma refers to the most common bone tumor found in dogs. Bone pain, tenderness (especially back, ribs; In osteosarcoma, the tumor originates from within the affected bone and destroys it from the inside out. It can be very painful as it grows from the inside out, destroying the. Affects the long bones (distal femur, proximal tibia, proximal humerus). Any of the symptoms above are not necessarily.
Folding Card Making Ideas - 10 Fancy Fold Cards | AllFreePaperCrafts.com : The pretty leaf embellishment on this card is well suited for thanksgiving, but the basic folding pattern can be adapted to make a card for almost any occasion. . Here's an easy card fold that combines the classic gatefold card with elements of a pop up box card to add even more 3d fun! The star of this card is what makes it a w, score the 1 3/4″ x 11″ strip at 2 3/4″, 5 1/2″ and 8 1/4″. 2) cut out your aperture See more ideas about cards, fancy fold cards, fun fold cards. The garden lane designer series paper is the featured product for today's fun fold card ideas. Demonstrator mindy clove demonstrates how you can make cards with fun and creative folds. The pictured card is just such a one with the fold at the top and commonly called a tent fold. See more ideas about card making, cards handmade, inspirational cards. How to make a bridge fold card Add pretty scraps to the front of the...
What Are The Symptoms Of Advanced Stomach Cancer - Stomach Cancer I Causes I Symptoms I Diagnosis I Treatment ... : Stomach cancer that has progressed can cause more severe symptoms to appear. . Stomach cancer can cause the following signs and symptoms: Symptoms of indigestion, such as burping a lot; Most children and adults with stomach cancer have no early symptoms or signs until the cancer has advanced. You might have a build up of fluid between the chest wall and the lung called a pleural effusion. Stomach cancer, also known as gastric cancer, can affect any part of the stomach. ) vomiting (the vomit may be streaked with blood), although this is uncommon in the early stages. If you are concerned about any changes you experience, please talk with your doctor. Signs that may be observed with stomach cancer include: You should know if the goal of treatment is to cure the cancer, slow its growth and help you live longer, or relieve symptoms. Symptoms of advanced stom...
What Does Squamous Cell Cancer Of The Lip Look Like : 10 Signs of Skin Cancer - Page 3 of 10 - Fancy Whale : Squamous cell carcinoma, also called squamous cell cancer, is the second most common type of skin cancer. . All skin cancer cells can spread to other parts of the body but this isn't common. Squamous cells lie near the skin's surface and constantly shed as new cells form. It accounts for about 20 percent of cases. Squamous cell cancers are more likely to grow into deeper layers of skin and spread to other parts of the body than basal cell cancers, although this is still uncommon. Therefore, they typically appear in places that this type of cancer is incredibly hard to spot, which explains why it's so deadly. Because this common skin cancer can begin on any part of the body that has squamous cells, it can also develop inside does squamous cell carcinoma skin cancer hurt? Our increased understanding of lip cancer has undergone an incremental evolut...
Komentar
Posting Komentar